Diş kayıpları; yalnızca estetik değil, aynı zamanda çiğneme, konuşma ve genel ağız sağlığı açısından da ciddi sorunlara yol açabilir. Bu kayıpların telafi edilmesi, bireyin yaşam kalitesini doğrudan etkileyen bir gerekliliktir. Protez diş tedavileri, eksik dişlerin yerine hem estetik hem de fonksiyonel çözümler sunarak bireylerin tekrar sağlıklı bir şekilde gülümseyebilmesine olanak sağlar.
Uzman hekimlerimiz, klinik değerlendirme sonrasında ihtiyaçlarınıza en uygun kaplama tedavisini planlamaktadır.
Tamamen seramik materyalden üretilen bu kronlar, doğal diş görünümünü en iyi şekilde taklit eder. Yüksek estetik beklentisi olan hastalar için ideal bir seçenektir. Biyouyumlu yapıları sayesinde alerjik reaksiyon riskini azaltır ve diş eti ile uyumlu bir kullanım sunar.
Yüksek dayanıklılığa sahip özel bir seramik türü olan zirkonyumdan üretilir. Hem estetik hem de sağlamlık açısından güçlü bir alternatiftir. Doğal ışık geçirgenliği sayesinde gerçek diş görünümüne oldukça yakındır. Uzun ömürlü ve güvenilir bir protez seçeneğidir.
İç kısmında metal altyapı, dış yüzeyinde ise porselen kaplama bulunan bu kronlar dayanıklı ve ekonomik bir çözümdür. Sağlam yapıları sayesinde uzun yıllar kullanılabilir. Ancak metal içeriği nedeniyle bazı hastalarda estetik beklenti veya hassasiyet açısından sınırlı tercih edilebilir.
Genel olarak diş protezleri, hasar görmüş, kırılmış veya ciddi madde kaybına uğramış dişlerin tedavisinde önerilmektedir. Bu tedavi yöntemi, dişin hem estetik görünümünü hem de çiğneme fonksiyonunu yeniden kazandırmaya yardımcı olur. Ayrıca kanal tedavisi sonrasında zayıflamış dişlerin korunması ve güçlendirilmesi amacıyla da tercih edilmektedir. Birçok durumda ise eksik dişlerin yerine konulması için protezler dental implantlar üzerine uygulanmaktadır.
Diş protezi uygulaması öncelikle dişin hazırlanması ile başlar. Bu aşamada, protezin dişe tam uyum sağlaması için genellikle minimal düzeyde şekillendirme yapılır.
Ardından, laboratuvarda hassas bir model oluşturulabilmesi amacıyla ölçü alınır.
Son aşamada ise, protez kalıcı olarak sabitlenmeden önce prova yapılır ve gerekli uyum ayarlamaları bir sonraki randevuda tamamlanır.
Diş protezlerinin 10 ila 15 yıl boyunca uzun ömürlü bir restorasyon sağladığını bilmek önemlidir. Estetik görünümü iyileştirmenin yanı sıra, alttaki dişi olası hasarlara karşı korur ve çiğneme fonksiyonunu yeniden kazandırır.
Bu sayede kişi tekrar rahat bir şekilde yemek yiyebilir ve konuşabilir; bu durum genel ağız ve diş sağlığı açısından önemli faydalar sağlar.
Diş protezlerinin kullanım süresini en üst düzeye çıkarmak için düzenli ve titiz bir ağız bakımı şarttır. Bu; günde en az iki kez diş fırçalamayı ve düzenli diş hekimi kontrollerini içerir. Düzenli kontroller sayesinde olası sorunlar erken dönemde tespit edilerek gerekli tedaviler zamanında uygulanabilir.
Genel olarak diş protezleri ortalama 10 ila 15 yıl arasında kullanılabilmektedir. Ancak kullanım süresi; ağız hijyeni, düzenli bakım alışkanlıkları ve beslenme düzeni gibi birçok faktöre bağlı olarak değişkenlik gösterebilir.
Diş protezi uygulaması genellikle lokal anestezi altında gerçekleştirilir ve işlem sırasında ağrı hissedilmez. İşlem sonrasında hafif hassasiyet görülebilir ancak bu durum kısa sürede kendiliğinden geçer.
Diş protezleri ortalama 10 ila 15 yıl arasında kullanılabilmektedir. Ancak bu süre; ağız hijyeni, düzenli diş hekimi kontrolleri ve beslenme alışkanlıklarına bağlı olarak değişiklik gösterebilir.
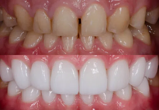
Modern diş protezleri, doğal diş rengi ve formuna uygun olarak tasarlanır. Günümüzde kullanılan gelişmiş materyaller sayesinde estetik açıdan oldukça doğal bir görünüm elde edilmektedir.
Kırılmış, aşırı madde kaybına uğramış, estetik açıdan sorunlu veya eksik dişlere sahip bireyler için diş protezleri uygun bir tedavi seçeneğidir. Uygunluk, diş hekimi muayenesi sonrasında belirlenir.
Düzenli diş fırçalama, diş ipi kullanımı ve periyodik diş hekimi kontrolleri protezin ömrünü uzatır. Ayrıca çok sert gıdaların tüketiminden kaçınılması önerilir.